International Journal of Fisheries and Aquatic Studies

Volume 1, Issue 5, 2014

 

Copper and Cadmium induced histopathological alterations in liver of Heteropneustes fossilis (Bloch) at varying water pH

 

Author(s): R. Paul, L. L. Guite, S. N. Ramanujam

Abstract: Histology of liver exposed to 36 hour LC50 concentration of copper sulfate (CuSO4.5H2O) and cadmium chloride (CdCl2.H2O) with varying water pH (4±0.5, 7±0.5 and 8±0.5) was studied in an air-breathing catfish (Heteropneustes fossilis). The histopathological changes observed in the liver tissue post exposure included necrosis, degradation of hepatocytes, degeneration of blood vessels, distended sinusoids with pyknotic nuclei and vacuolation of cells. The degree of damage to the liver tissue was proportional to the nominal concentrations of the metals used. Further the pH of diluent water affected the alteration more acutely signifying a synergistic effect.

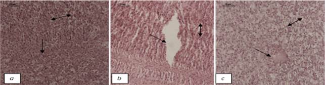
Transverse sections of H. fossilis liver at pH 7±0.5 after 36 hour-H&E-40X (a) Control: Normal hepatocytes (single headed arrow); Sinusoids (double headed arrow) (b) Copper treated: Degradation of cellular hepatocytes (single headed arrow); sinusoids with pyknotic nuclei (double headed arrow) (c) Cadmium treated: Necrosis (single headed arrow); Sinusoids (double headed arrow)

Fig: Transverse sections of H. fossilis liver at pH 7±0.5 after 36 hour-H&E-40X (a) Control: Normal hepatocytes (single headed arrow); Sinusoids (double headed arrow) (b) Copper treated: Degradation of cellular hepatocytes (single headed arrow); sinusoids with pyknotic nuclei (double headed arrow) (c) Cadmium treated: Necrosis (single headed arrow); Sinusoids (double headed arrow)

Download Full Article: Click Here

 

Journal is Indexed and Abstracted in following Database(s).

   
CAS Index Copernicus EBSCO  ProQuest 
SCIRUSHINARIURICHSWEBagora
Genamics J-Gate AcademicKeys Electronic Journals Library  CABINew Jourpubshub